NATURE
Extreme heat is a huge killer — these local approaches can keep people safe
- By West virginia digital
- . August 22, 2024
This story is part of special report on science and extreme heat. Read about the scientists studying how scorching temperatures
Thermal infrared directs host-seeking behaviour in Aedes aegypti mosquitoes
- By West virginia digital
- . August 22, 2024
Mosquito stocks The Ae. aegypti Liverpool strain (LVP) was provided by O. Akbari (UCSD) and was used as the wild-type
Queen’s Brian May on saving badgers — and the scientific method
- By West virginia digital
- . August 22, 2024
Brian May has many strings to his guitar. The musician, who is still touring with his rock band Queen, is
Attosecond delays in X-ray molecular ionization
- By West virginia digital
- . August 22, 2024
Haessler, S. et al. Phase-resolved attosecond near-threshold photoionization of molecular nitrogen. Phys. Rev. A 80, 011404 (2009). Article ADS Google
‘I hope I get the opportunity to fly’: Meet Paralympian-turned-astronaut John McFall
- By West virginia digital
- . August 22, 2024
Among those following the 2024 Paralympic Games, which kick off next week in Paris, will be John McFall, a former
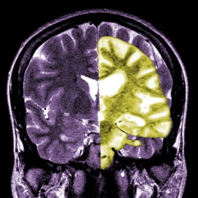
Debate rages over Alzheimer’s drug lecanemab as UK limits approval
- By West virginia digital
- . August 22, 2024
A composite MRI image showing a healthy brain (left) and one with advanced Alzheimer’s disease (right).Credit: Jessica Wilson/Medical Body Scans/Science
AI made of jelly ‘learns’ to play Pong — and improves with practice
- By West virginia digital
- . August 22, 2024
Pong was first played by humans in the 1970s.Credit: SSPL/Getty Images A basic artificial intelligence (AI) system made of a
This unlucky star got mangled by a black hole — twice
- By West virginia digital
- . August 22, 2024
A star in a nearby galaxy has been spotted being almost destroyed by a supermassive black hole not just once,
South Korea can overcome its researcher shortage — but it must embrace all talents
- By West virginia digital
- . August 22, 2024
South Korea’s falling birthrate is affecting university enrolments.Credit: Seung-il Ryu/NurPhoto/Getty South Korea is the envy of the world, by some
Neoarchaean oxygen-based nitrogen cycle en route to the Great Oxidation Event
- By West virginia digital
- . August 22, 2024
Ader, M. et al. Interpretation of the nitrogen isotopic composition of Precambrian sedimentary rocks: assumptions and perspectives. Chem. Geol. 429,